当院が皆様の個人情報を収集する場合、診療・看護および皆様の医療に関わる範囲でのみ行います。その他の目的に個人情報を利用する場合は利用目的を予めお知らせし、ご了承を得た上で実施いたします。
また当院は、皆様の個人情報について、正確かつ最新の状態を保ち、皆様の個人情報の漏洩、紛失、破壊、改ざんまたは皆様の個人情報への不正なアクセスを防止することに努めます。
first

問診表をご記入いただき、現在のお口の症状や全身疾患、服薬状況、今まで歯科にかかって嫌だったこと、今後の治療への希望などをおうかがいします。一人一人同じ治療はありません。患者様のお話を聞くことで、患者様にあった治療計画をお話しいたします。
※痛みのある部分、日常生活でお困りの部分がある場合はそちらを優先的に処置いたします。
唾液を調べることによって「虫歯リスク」「歯周病のリスク」を調べることができます。
痛みもなく副作用もないので、安心して受けていただけます(ご希望の方のみ)。



磨き残しや歯周病の程度を検査します。


患者さんの食習慣をお聞きして、それを基に治療をおこなっていきます(2回目以降)。
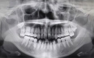
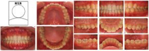
正確な診断をするために、口腔内を細かく10枚ほど撮影いたします。無駄に削らないために必要です。


歯の間の虫歯の様子や、歯を支えている骨の状態を調べるため、カメラにてお顔の写真と口腔内の写真を撮影します。
最初に来院された時の状況を残しておくのがとても大事です。


検査で調べたお口の中の状態をもとに、治療計画を相談しながら決めていきましょう。
ご理解・ご納得いただけるまで、何度でもご相談させていただきますので、ご不明な点がございましたら、どんなことでもおたずねください。
小さな虫歯でもそれが全体のかみ合わせが原因のこともあります。しっかりとした検査により、より正確な診断と治療計画をご提案いたします。
必要な場合は追加の検査をおすすめする場合もございます。
例)噛み合わせ検査/CT撮影など
検査結果をみて、患者様一人一人にあった歯磨き粉、歯ブラシなど予防計画を立案いたします。
治療計画をもとに「ゴール」に向かうための治療をスタートします。「ゴール」とは「美しく、よくかめる状態」です。
これまでの治療で病状が改善されているかを確認します。治療の経過の中でもう一度すべての治療が確実に機能しているかチェックすることが必要です。人の体ですので、必ずしも同じ治療結果が得られるとは限りません。
結果によって治療計画を変更させていただく場合もございます。
維持するために定期的なメインテナンスを行います。
当院が皆様の個人情報を収集する場合、診療・看護および皆様の医療に関わる範囲でのみ行います。その他の目的に個人情報を利用する場合は利用目的を予めお知らせし、ご了承を得た上で実施いたします。
また当院は、皆様の個人情報について、正確かつ最新の状態を保ち、皆様の個人情報の漏洩、紛失、破壊、改ざんまたは皆様の個人情報への不正なアクセスを防止することに努めます。